
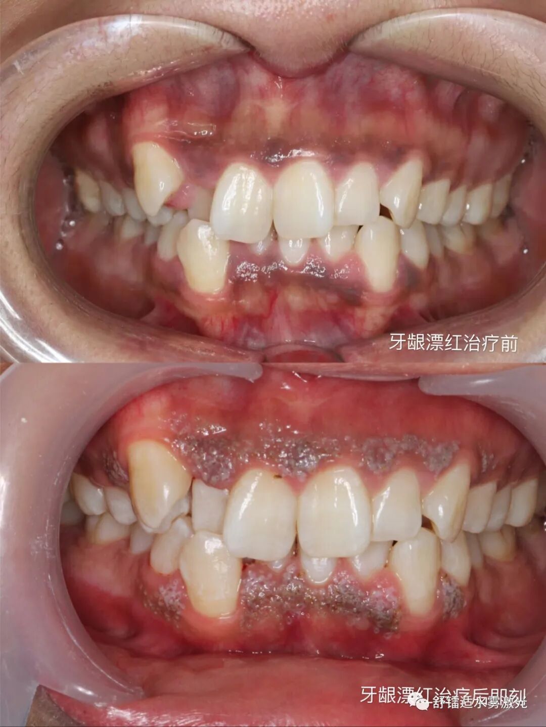
在很多情况下,深黑色的牙龈被视为会影响美观和社交;因此,做牙龈脱色的患者也越来越常见。目前Nd:YAG和Er:YAG激光都能完成牙龈的脱色,根据激光的不同操作流程,口腔医师对哪种激光的效果“最佳”有自己的偏好。一些临床医师更喜欢1064nm的Nd:YAG激光,因为它们可以直接作用于黑色素。另一些人更喜欢2780/2940nm的Er:YAG激光,因为这些波长很容易被牙龈肿的水分所吸引。大多数进行牙龈脱色的口腔医师都认为激光治疗是最可靠和最令人满意的方法。

Nd:YAG激光和Er:YAG激光的技术原理是不同的,Nd:YAG激光其目标不是切割色素沉着的组织,而是将激光能量传递到上皮细胞的深处,被黑色素吸收。其治疗方式采用非接触式照射,这些能量不会被表层组织吸收,而是会渗透到组织中,直到它被黑色素吸收。当激光能量被黑色素吸收时,组织会呈现明亮的颜色。另一种说法是由于二极管半导体激光没有瞬间的脉冲峰值功率可以使用接触式治疗,在表面轻快地移动工作尖。如果使用这种技术,必须注意的是,保证工作尖不会积聚组织碎片。一旦组织碎片在工作尖顶端,激光就会被“激活”,并将在表面工作,而不是穿透到达黑色素。

Er:YAG激光作用于组织表面,因此必须将组织逐渐“剥离”到黑色素沉着的层面。应该注意保护牙龈的边缘,因为大多数色素沉着在距表面较近的牙龈基底和上层中,激光对这两个区域都是有效的。不管使用Nd:YAG激光Er:YAG激光,牙龈脱色通常只使用表面麻醉就可以完成。
Nd:YAG激光临床提示:水雾同步输出的Nd:YAG激光在牙龈脱色的应用上患者体验度更好,大部分无需表面麻醉。
