排龈术是指采用排龈材料使游离龈发生侧向移位,使游离龈缘与牙面分离,暴露出龈下区域,创造一个清洁、干燥、无渗出、无碎屑的操作区域。传统的排龈方法主要有:机械法、机械化学法、外科法等,其中最常用的为机械化学法,包括利用排龈线、排龈膏等排龈。其中,最常用的排龈法将排龈线放置在龈沟内,这种方法操作相对复杂、耗时,有时还会因牙龈损伤而出现退缩。

——利用排龈线进行排龈——
口腔激光的应用为舒适化口腔治疗治疗带来了诸多好处,包括:定位准确、止血、无菌、最低限度的术后疼痛与肿胀。激光的作用机理是使其作用部位的组织汽化蒸发,从而达到所预期的效果。激光排龈术同样是利用激光的热效果产生牙龈组织收缩,在牙面和牙龈之间产生一条暂时的无组织区域。

——舒镭适水雾激光临床方案——
光纤芯径
| 365微米 |
激光功率 | 软组织切除菜单:4~6W
|
输出模式
| 高频切割模式 |
水气大小 | 水1档,气3档
|
光纤端面
| 需要激活 |
是否接触 | 是
|
是否麻醉 | 否 |
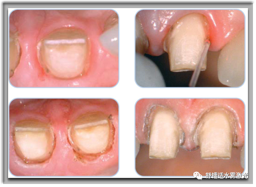
去模前用激光处理冠周牙龈的效果远比放压排龈线优越,不但止血效果好,而且还能够清除牙龈沟内的肉芽组织,其定位准确,免除了缝合和术后不适及敷药,而修复后的冠周牙龈外形与其牙冠的关系也好得很。因为激光造成的“细胞坏死层”很薄。仅3~5个细胞层,所以用激光做上述治疗的时候,不存在术后牙龈退缩的问题。大量事实证明,无论对病人还是临床医生,激光比钢制手术刀乃至电刀都更具独特优势,是一种新型的排龈方法,尤其适用于数字化美学修复的排龈。

激光排龈的操作提示
激光排龈的操作方法十分简单,并且激光排龈不降低牙龈的高度,速度快,通常一颗牙仅需15~30秒的时间,同时水雾的冷却保护对组织几乎无损伤,1周后组织可以完全恢复正常。
对新接触舒镭适水雾激光的口腔医生而言,在开始阶段,应参考临床菜单的最低参数,以及选择后牙区域进行排龈操作。因为后牙区域的牙龈组织较厚,且不影响口腔美观。等操作熟练后,可以逐步提高激光功率到正常值,并且扩展到其它区域进行排龈操作。

激光排龈的操作方法
1.根据患者对光的敏感程度考虑降低能量或是否表麻,一般建议不需要麻醉。
2.采用激活的光纤,选择软组织切除菜单默认参数,将光纤的尖端插入牙面和牙龈之间的龈沟内,往龈沟内进入的深度约0.5~1mm,启动激光,让光纤的尖端以点触移动的方式沿龈沟移动,使牙龈的游离缘与牙面之间产生一条缝隙,该缝隙可以让印模材料获取精确的基牙肩台的形状。

激光排龈的临床提示
1.光纤端面必须进行激活处理,以避免因激光穿透过深而导致对正常口腔组织的损害。
2.激光排龈对牙龈创伤小,速度快,操作熟练后可以取得比常规排龈线更好的效果。
3.舒镭适水雾激光采用水雾冷却保护,激光在龈沟内产生0.5~1mm左右的间隙,不会产生组织碳化,并不会降低牙龈的高度。
