高能量激光≥2W:汽化组织,病灶组织去除。
高能量激光应用 (反应不可逆) | 软组织的汽化 | 牙龈手术(切除、修整、黑色素的去除) |
血管瘤和静脉畸形的治疗 | 唇舌系带矫正手术 软组织肿物手术(切除、活检) |

增生物的切除:表面麻醉光纤激活后借助血管钳牵拉一定张力,沿增生物基底部进行汽化。(切割后可以进行活检)

肥厚结节型葡萄酒斑的治疗:表面麻醉后(光纤不需要激活)利用1064nm激光的穿透深度,对于浅表病变,光纤以1cm左右的距离垂直对齐进行照射(能量:130mJ;频率:60Hz),对于深部病变,光纤以同样的能量通过病灶(深度:0.5cm;间距:1cm)进行照射,使组织凝固结痂脱落,病人接受了5次激光治疗。

唇系带矫正手术:光纤激活后,唇舌系带一定借助工具让系带呈一定张力,唇系带可以借助手向上牵拉,舌系带可以借助槽状舌定位器进行牵拉,光纤沿系带汽化直至释放一定张力,切记避免切割太深。当系带组织为细小的纤维性附着时,通常不需要麻醉。但当系带组织为粗大的纤维韧带状时,就需要局部麻醉,并在最终修整完时的末端做一针肠线缝合以防止系带的再附着。

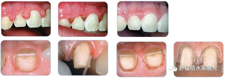
牙龈修整:光纤激活后,光纤要按照牙齿长轴来进行汽化
排龈:光纤激活后,光纤沿牙齿颈缘边进行汽化,使牙齿颈缘充分暴露,利于即刻取模

牙龈瘤的切割:光纤激活后,光纤沿龈瘤边缘完整地切除整个瘤体,然后光纤再次照射环切缘处的牙龈组织,至结痂为止。(有蒂的牙龈瘤激光切割仍然会存在复发的情况)

牙龈增生的切除:光纤激活后,沿牙齿长轴进行汽化,术后会出现牙龈形态不美观的情况,那是因为光纤汽化的牙龈由于血红素、能量以及操作手法的关系会影响组织的形态,临床大可放心,因为愈合后的效果会有一个让您满意的红白美学形态。

埋伏牙开创:光纤激活后,先利用光纤在需要切除的牙龈边缘做一个标记,然后利用光纤汽化组织。

血管瘤的去除:光纤不激活,垂直距离3mm进行凝固汽化,直至血管瘤发白萎缩。

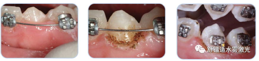
种植体暴露:光纤激活后,根据病人对光的耐受性可以选择局部麻醉或表麻,用激光光纤标记4个点位,确定种植体的位置。用激光将4个点位用圆弧线连接起来,用激光剥离种植体表面的牙龈组织,暴露种植体。用螺丝刀将种植体上面的固位螺钉取出,再用激光精细修整牙龈组织,选择合适的愈合基台,然后将愈合基台固定在种植体上。
种植体暴露手术注意事项:
种植体表面的牙龈组织一般较硬,通过定点可以提高暴露的精度和速度;沿锥形方向由上向下进行切割,保持软组织切面一定的斜度,以适应修复体的外形;虽然1064水雾型钕激光能有效降低骨组织和种植体表面的热损伤,但尽量避免对植体长时间照射,仅接触需要切割的软组织。
高能量激光应用临床提示:
1.软组织切除光纤端面必须激活(引发)
2.激光光纤与切割组织呈垂直90°(末端发力,避免侧力)
3.将激光治疗手柄看作是涡轮牙科手机(支点稳定,靠近术区)
4.全程开启水雾效果(减少热损伤)
5.清理光纤蛋白质变性粘附物(及时清理,减少碳化)
高能力激光是否需要麻醉:
是否麻醉取决于患者对激光的耐受程度;
小面积组织的切割建立在行为管理上可以不用麻醉。
激光在与手术刀、电刀进行软组织手术时比较,具有以下优点:
手术出血少或不出血,术区干燥,视野清晰,利于手术;
高精确性,对周围组织机械损伤小、热损伤小;
手术同时消毒杀菌,避免了感染和交叉感染;
手术快捷,一般不需要缝合,减少术后疼痛及肿胀;
适用于特殊患者;(如儿童、孕妇和植入器械的特殊患者群)
适应证较更广,可用于某些适宜常规手术者。
对于激光进行软组织切除后是否影响病理诊断,目前认为激光切下的组织样本直径需大于5~7mm,但与使用的激光器种类和参数有较大关系。
杭州威士德2024年中销售会议:深度反思,精准布局,助力企业逆势增长!
2024-07-30
2024-02-02
行业聚焦|威士德&杭州市民营口腔医疗协会2023会员年会隆重召开!
2024-01-04
2024-01-04
祝贺!浙江省口腔医疗行业协会口腔激光专委会学术年会取得圆满成功!
2024-01-04