中能量激光=1W:封闭毛细血管和淋巴管、控制炎症、抑制细菌。
组织凝固变性,当治疗结束的第二目的是为封闭健康组织的毛细血管和淋巴管,菌斑生物膜倾向于通过血管来继续侵入宿主,它还可以组织炎症进展而导致的肿胀。
中能量激光应用 (反应可逆) | 牙本质小管的封闭 | 脱敏的治疗 |
牙本质的酸蚀 | 去除牙本质表面玷污层、增加粘接力 | |
血管的凝固 | 封闭毛细血管和淋巴管 | |
炎症肉芽的去除 | 牙周炎、种植体周围炎 | |
黑色素的分解 | 牙龈黑色素和浅龋的祛除 |

牙周炎治疗机理:1064nm水雾钕激光在带袋内能有效杀灭多种牙周致病菌的同时,还能封闭毛细血管和淋巴管,有效控制术后出血。当治疗结束的第二目的是封闭健康组织的毛细血管和淋巴管,菌斑生物膜倾向于通过血管来继续侵入宿主,它可以阻止炎症进展而导致的肿胀。
激光辅助牙周炎非手术序列治疗:经过基础治疗,患者几乎没有龈下结石,激光照射才可以在目标位点发挥其最好效果。将光纤沿水平长轴探入牙周袋内,微微偏向牙周袋璧,扫描式反复沿上皮、袋内、牙面三个方向充分照射,辅以水气冲洗配合,以去除牙周袋内璧的上皮衬里及其下方炎症组织。每个区域所需要的照射时间依据牙周袋深浅而定,一般每个牙不超过1分钟。因为有水气的保护中途不用将光纤移除牙周袋,因为水雾的保护在半封闭的牙周袋内能有效避免根面的过度加热。最后将光纤垂直照射牙龈表面进行生物刺激和理疗,目的是促进牙周上皮细胞附着(照射时间1分钟/牙面,照射距离2~5mm)。
激光辅助治疗牙周炎临床提示:
牙周致病菌对1064nm激光反应强烈,在减少细菌数量方面优于化学漱口液,激光与抗生素在消炎能力上是一样的,不过值得注意的是激光属于物理治疗,不会产生耐光性,而针对慢性牙周炎需要的是一种终身能控制炎症而不产生耐药性的治疗方式,激光在这方面的优势尤为重要。
去除袋内肉芽,调整参数:能量150mJ 频率15Hz进行治疗,以肉眼观察光纤端面是否有蛋白质凝固物附着来判断是否去除干净。袋内消毒,调整参数:能量100mj 频率15Hz进行治疗,激光要充分照射牙齿全部位点,值得注意的是光纤应在袋内不停移动。
激光止血:光纤激活后,先用脱脂棉球找到出血点,关闭水气利用中能量激光进行照射凝固,从而封闭毛细血管和淋巴管,由于激光的微创效应凝固成较薄,建议激光止血后观察15min患者再离开。

植体周围炎治疗机理:1064nm水雾钕激光能精准去除炎症肉芽组织,还能有效杀灭植体周围炎的多种致病菌。低能量激光还可以加快骨组织修复进程和促进组织愈合,水雾同步输出可以有效保护种植体表面,降低骨组织热损伤。
植体周围炎序列治疗:了解植体牙周情况,采用碳纤维刮治器进行植体表面处理,将没有激活的光纤深入植体牙周袋内,用光纤的尖端沿龈沟轻轻探查,了解龈沟的状况,光纤深入植体牙周袋底后,向上提拉1~2mm,光纤的尖端与植体表面大致平行,并稍向牙龈软组织倾斜,激光进行照射,照射过程中光纤尖端沿水平方向和垂直方向中速移动,滑过所有的上皮组织及炎症组织。如果植体的牙周袋深度小于6mm,每颗牙治疗的时间约30秒;如果植体的牙周袋大于6mm,治疗的时间约45秒;激光照射结束用生理盐水进行袋内冲洗。
激光治疗植体周围炎的优势:
穿透能力深、杀菌能力强
消除植体表面脂多糖等毒素
种植体表面损伤小、热损伤风险低
不产生耐药性
增强成骨细胞活性
促进伤口愈合
植体周围炎治疗方案:
PD≤3mm:
BOP(—),Pl<1:无需治疗
BOP(+),Pl>1:刮治+抛光
PD=4~5mm:
BOP(—),无骨缺损,视诊无临床症状:刮治+抛光
BOP(+),视诊有临床症状,无骨缺损:刮治+抛光、激光深部清创
PD>5mm:
BOP(—),牙槽骨吸收<2mm:刮治+抛光、激光深部清创
BOP(+),牙槽骨吸收>2mm:翻瓣清创+激光清创、GBR

激光脱敏治疗机理:1064nm脉冲激光瞬间的高能量照射暴露的牙本质,牙本质表面熔融瞬间使外露的牙本质小管热凝再结晶,牙本质小管部分封闭牙本质的通透性降低隔绝外界刺激。
目前常用脱敏治疗的激光:
半导体激光
Nd:YAG激光
Er,Cr:YSGG激光
Er:YAG激光
CO2激光
不同激光的脱敏效果

Nd:YAG激光穿透能力的优势,喇叭状小管口形态消失,牙本质表面覆盖一层厚实、无定形的非晶体结构,深度可达9μm以上。
脱敏序列治疗:术前疼痛评估VAS和必须排除具有牙本质敏感症状的实体性疾病,如牙折裂、充填体边缘微渗漏、牙体缺损、龋病、牙髓炎等(鉴别诊断或受限诊断这些疾病很有必要)。干燥过敏点后涂覆黑色引光剂(专用黑色碳素笔),将没有激活的光纤距离过敏点5mm照射30秒直至黑色素被吸收淡化,治疗过程中患者能感受到酸酸的不适感,可以提前告知,如患者不适感明显可以适当降低能量或提高照射距离,术后疼痛评估VAS。长期效果可以再涂布2%氟化钠凝胶1~2分钟再次激光照射30秒,整个过程移动照射。

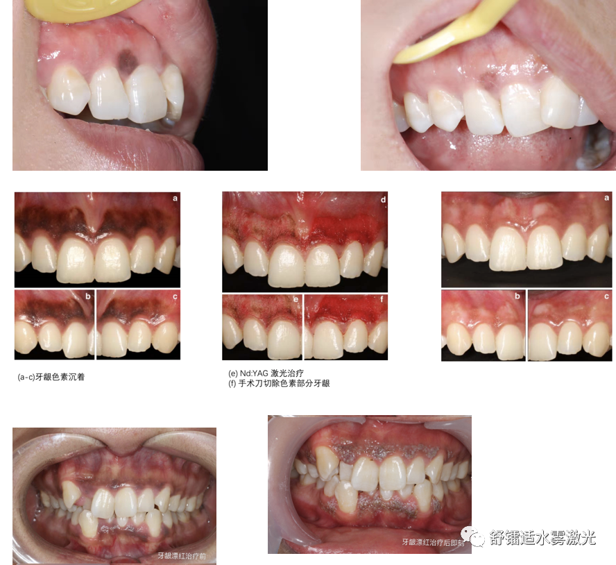
牙龈漂红治疗机理:利用1064nm激光黑色素吸收和穿透深度的特性,激光瞬间分解组织内黑色素颗粒,通过机体代谢排出体外。

牙龈漂红治疗优势:
微创
少麻药甚至无麻药
无出血
牙龈漂红序列治疗:将不激活的光纤距离牙龈表面1~2mm非接触垂直移动照射,照射时间一个牙面不超过5分钟。照射过程中病人出现疼痛可以适当减少能量参数,以能接受能量为宜。如果病患部位范围较大或者色素很深,可分次照射完成,1周/次。
牙龈漂红临床提示:整个治疗过程中避免使用麻药,如果疼痛感明显,可使用表麻。治疗即刻效果根据色素深浅而定,一般色素较浅治疗一次效果明显,相反色素较深需要分次治疗。

色素痣治疗机理:利用1064nm激光黑色素吸收特性,快速分解破坏黑色素细胞,达到治疗的目的。
色素痣去除序列治疗:色素痣一般不用麻醉,对疼痛敏感患者可以使用表麻处理,术前备皮、消毒,将不激活的光纤距病灶1mm做照射治疗。治疗时沿病灶边缘向中央均匀垂直照射,每个光斑毗邻而不重叠,以色素痣瞬间发白为止,治疗过程中用冰块冷敷或打开水气,治疗结束,创伤涂烫伤膏,嘱近期保持治疗部位干燥,3~6个月避免日晒。(对数量较多的分次照射,间隔2~3周)
色素痣临床提示:建议先从手臂皮肤处开始治疗,把握治疗过程中组织蛋白质变性发白,结痂脱落的机理,再从颌面部开始治疗(如果患者疼痛明显可以打开水气,不过会影响能量吸收,从而影响后续临床效果)。
杭州威士德2024年中销售会议:深度反思,精准布局,助力企业逆势增长!
2024-07-30
2024-02-02
行业聚焦|威士德&杭州市民营口腔医疗协会2023会员年会隆重召开!
2024-01-04
2024-01-04
祝贺!浙江省口腔医疗行业协会口腔激光专委会学术年会取得圆满成功!
2024-01-04