很多来洗牙的患者
都会被建议做个更深层次的牙周刮治
这让患者感到很困惑!

都洗牙了,为什么还要做牙周刮治
今天小编就来聊聊洗牙和牙周刮治的区别
什么是洗牙?
洁牙,俗称洗牙,专业术语龈上洁治术,是指用洁治器械去除牙龈上牙石、菌斑和色渍,并抛光牙面,以延迟菌斑和牙石再沉积。牙菌斑和牙结石是牙周病最主要的局部刺激因素,洁治术是去除龈上菌斑和牙石最有效的方法。
洗牙的主要目的是为了防治口腔疾病,而不单纯是为了好看。通常洗牙可以减轻牙龈炎、牙周炎的炎症状况,但单靠洗牙是不能控制牙周炎的,还应该在洗牙之后进一步的牙周专业治疗。
如果还是不懂,希望这几张图帮你了解:
这是健康的牙周,随着牙面上滋生牙菌斑和牙结石就会引起牙周炎的发生。

当牙菌斑和牙结石累积到一定程度时,牙龈开始变得红肿,牙菌斑和牙结石没有被及时的清除,牙龈进一步红肿,同时伴有牙龈出血现象。

此时在牙龈以下也同样存在着坚硬的牙结石。这些牙结石开始刺激牙槽骨的吸收。当牙槽骨遭到破坏,导致大量的骨吸收减少,我们的牙齿就好像大树没有土壤的保护,松动掉落。
这个时候,我们每天的刷牙不能达到彻底的清除牙菌斑和牙结石的效果,尤其是牙龈以下的部分,牙刷无法触及和清除掉。

龈上洁治术,此时患者需要到口腔门诊来进行洗牙,首先会用超声波(洗牙)将牙面上比较坚硬的牙结石清除掉。

牙结石是沉积在牙面上的钙化团块,质地较硬,它就如同开水壶里的水垢一样都是钙盐的沉积物。牙结石表面粗燥,有利于细菌附着,大量的菌斑感染牙龈,引发炎症、出血、肿痛甚至口臭等症状。

什么是牙周刮治?
牙周刮治又称龈下刮治术,牙周刮治主要是用于去除龈下肉眼看不见的菌斑、牙石及肉芽等感染组织,使牙周组织恢复正常的状态,使牙槽骨的炎症停止,防止牙槽骨的吸收,也防止牙龈的炎症退缩。
牙周刮治主要方法就是龈下刮治和根面平整,但是牙周刮治并不是牙周系统治疗的全部,只是一部分,牙周刮治只适用于去除龈下的牙石及肉芽组织。如果对于重度的牙周病,除了需要进行的牙周刮治,还需要考虑进行牙周手术,在可视范围内翻瓣、去除菌斑、牙石等组织,必要时需行骨粉植入,防止牙齿因牙槽骨的缺失导致松动、脱落。

牙结石如果不被清理,就会导致牙龈炎。而牙龈炎进一步就会朝着牙齿根部发展,形成牙周袋。细菌在牙周袋内繁殖,会引起牙槽骨的炎症和吸收(牙周病),这就是为什么我们看到有些人牙齿好像变得特别长,其实是牙周萎缩了,牙根暴露出来,所以显得牙齿变长了。如果这时还不引起重视,最终的结果就会导致牙齿松动脱落。

牙周刮治就是刮除牙根面感染的病变牙骨质及牙周袋内的牙结石和牙菌斑。一旦有了牙龈疾病,牙周袋形成后就会慢慢加深,牙结石就会慢慢向牙龈下堆积。
洗牙和牙周刮治的区别
简单来讲,洗牙就是清除牙齿及牙龈表面以及牙龈浅部附着的牙结石;而当牙龈下存在牙结石,常规的洗牙已经无法清除彻底了,则需要进行牙周刮治来清理牙周袋里面的脏东西。
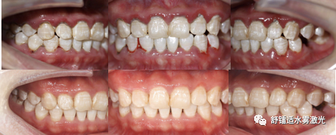
牙周刮治前后竟有这么大差别
刮治前:清晰可见,牙龈周边积聚着大量黑褐色牙结石并伴有口腔异味,牙龈红肿明显。
刮治后:牙龈颜色恢复正常,红肿消退,看起来即干净又健康了。

关于牙周刮治的几个疑问
问:为什么做牙周刮治会出这么多血?
答:这是由于长期牙结石刺激牙周导致的牙周炎症,局部组织充血。把牙石清除掉就会缓解。
问:刮治后牙缝好像变大了?
答:由于牙结石的累积,会将牙龈慢慢下压,导致牙龈萎缩,再加上大量牙结石填满牙缝周围,因此清除后,牙缝看起来好像变大了。所以牙医才建议大家养成定期洗牙的习惯,因为萎缩的牙龈很难再长回来了。

问:牙周刮治会痛吗?
答:这取决于牙周袋内的深度和牙根是否平整。若牙周袋不是很深,在刮治过程中可能不会感到疼痛,只是偶尔会有一点不适感。若牙周袋较深的患者,牙医可能会配合激光,让粘附在根面的结石松动,从而提高治疗的舒适度,减少疼痛。

定期洗牙的重要性
牙周炎患者通过定期维护治疗,牙周组织是可以保持健康的,这已经被很多临床研究证实!
因此专业牙周医生建议:
一定要定期洗牙和随访,预防牙周炎。
成人不吸烟患者1次/年,成人吸烟患者2次/年。
杭州威士德2024年中销售会议:深度反思,精准布局,助力企业逆势增长!
2024-07-30
2024-02-02
行业聚焦|威士德&杭州市民营口腔医疗协会2023会员年会隆重召开!
2024-01-04
2024-01-04
祝贺!浙江省口腔医疗行业协会口腔激光专委会学术年会取得圆满成功!
2024-01-04